Skip to content Skip to sidebar Skip to footer

Unlocking the Secrets: A Fascinating X-Ray of a Tooth Requiring Root Canal Treatment

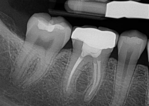
X Ray Of Tooth That Needs Root Canal

A dental X-ray reveals the severity of a tooth that requires a root canal, allowing for precise treatment and relief of pain.

Have you ever had an X-ray of a tooth that needs a root canal? It can be a daunting experience, especially if you're unfamiliar with the procedure. However, understanding the X-ray results and what they mean can go a long way in alleviating any anxiety or concerns you may have.

Firstly, let's take a closer look at what a root canal is. Essentially, it's a dental procedure performed to remove infected or damaged tissue from the inside of a tooth. This is done to save the tooth and prevent the need for extraction. Root canals are a common procedure and are typically performed under local anesthesia.

So, what do X-rays have to do with root canals? Well, they're an essential part of the diagnosis process. X-rays allow dentists to see the inside of teeth, including the roots and pulp chamber. This helps them determine the extent of the damage and whether a root canal is necessary.

When looking at an X-ray of a tooth that needs a root canal, your dentist will likely point out several things. Firstly, they'll identify the tooth in question, as well as any adjacent teeth. They'll also look for signs of infection or inflammation, such as a dark area around the root. This indicates the presence of bacteria, which can cause pain and discomfort.

Another thing your dentist will look for is the shape of the root canals. Ideally, they should be smooth and uniform in shape. However, in some cases, they may be curved or narrow, which can make the procedure more challenging. Your dentist may also look for any cracks or fractures in the tooth, which can affect the success of the root canal.

It's worth noting that not all teeth that require a root canal will show obvious signs of damage on an X-ray. In some cases, the tooth may appear perfectly healthy, but the patient may be experiencing pain or sensitivity. In these cases, your dentist may use other diagnostic tools, such as a pulp tester or an electric pulp tester, to determine the extent of the damage.

So, what happens next? Once your dentist has identified the need for a root canal, they'll likely schedule you for the procedure. This typically involves removing the infected or damaged tissue from inside the tooth, filling the canals with a special material, and placing a crown or filling on top to protect the tooth.

While root canals may seem daunting, they're a routine procedure that can save your teeth and alleviate discomfort. By understanding the X-ray results and what they mean, you can feel more confident and informed about the process.

If you're experiencing dental pain or sensitivity, don't hesitate to contact your dentist. They can perform an X-ray and determine whether a root canal is necessary.

The Importance of X-Ray in Root Canal Treatment

Understanding Root Canal and its Purpose

Root canal treatment is a dental procedure that aims to remove the infected pulp or nerve inside a tooth. This procedure is necessary when the tooth is severely decayed or infected, and a filling or crown is no longer sufficient to save it. The root canal treatment involves removing the damaged or infected tissue, cleaning the affected area, and sealing it with a crown or filling.

The Role of X-Ray in Root Canal Treatment

X-ray plays a vital role in root canal treatment as it helps the dentist to identify the extent of the damage and determine the appropriate treatment plan. An x-ray can show the shape of the root canals, the number of canals, and the location of any infection or abscesses. Without an x-ray, the dentist may miss some crucial details that can affect the success of the treatment.

The Procedure of Taking X-Ray of Tooth That Needs Root Canal

Taking an x-ray of a tooth that needs root canal treatment is a simple procedure that usually takes only a few minutes. The patient will be asked to bite down on a small piece of plastic or metal that holds the x-ray film in place. The dentist will then take the x-ray by directing the x-ray machine towards the tooth. The process is quick and painless.

What an X-Ray of Tooth That Needs Root Canal Looks Like

The Appearance of an X-Ray of a Healthy Tooth

An x-ray of a healthy tooth will show a clear and defined root canal that runs from the crown of the tooth down to the tip of the root. The root canal should be free of any dark spots or shadows, indicating there is no infection or damage to the tooth.

The Appearance of an X-Ray of a Tooth That Needs Root Canal

An x-ray of a tooth that needs root canal treatment will show signs of infection or damage to the tooth. The root canal may appear wider than normal, and there may be dark spots or shadows indicating an abscess or decay. The bone surrounding the tooth may also appear darker than normal, indicating the presence of infection or inflammation.

Why an X-Ray is Necessary for Root Canal Treatment

The Importance of Accurate Diagnosis

An accurate diagnosis is crucial for successful root canal treatment. An x-ray can help the dentist identify the extent of the damage, the location of the infection or abscess, and the number of root canals that need treatment. Without an x-ray, the dentist may miss some crucial details that can affect the success of the treatment.

The Need for Precision and Accuracy

Root canal treatment requires precision and accuracy to ensure the complete removal of the infected tissue and the proper sealing of the tooth. An x-ray can help the dentist locate any hidden canals or areas of infection that may be missed during the procedure. This ensures that the treatment is thorough and effective in treating the infection.

The Benefits of Early Detection on X-Ray

Easier Treatment

Early detection of a tooth that needs root canal treatment can make the procedure easier and less invasive. When the infection is caught early, the dentist can remove the infected tissue before it spreads and causes further damage to the tooth. This means that the root canal treatment can be completed in one visit, and there is less chance of complications or pain during the procedure.

Lower Costs

Early detection of a tooth that needs root canal treatment can also lower the costs associated with the procedure. When the infection is caught early, the treatment is less invasive, and the dentist can use less expensive materials for the filling or crown. This means that the patient can save money on the procedure and avoid more costly treatments in the future.

Conclusion

In conclusion, x-ray plays a crucial role in root canal treatment by providing accurate diagnosis and ensuring precision and accuracy during the procedure. An early detection of a tooth that needs root canal treatment can make the procedure easier, less invasive, and more affordable. Therefore, it is essential to visit a dentist regularly and have x-rays taken to detect any potential problems with your teeth.

Discovering the X-Ray of the Tooth: Understanding the Need for a Root Canal

As you sit in the dental chair, the radiographic image of your tooth appears on the screen, revealing the severity of decay that has penetrated the structure of your tooth. This realization can be daunting, but it's important to remember that you're not alone. Many people require root canal treatment to save their teeth from extraction.

The Root Canal: A Procedure to Save Your Damaged Tooth

The root canal procedure is a common dental treatment that can save a tooth that has sustained irreversible damage or infection. The procedure involves removing the infected pulp and nerve from inside the tooth, cleaning out the canals, and filling the space with a special material to prevent future infections. Finally, the tooth is crowned to protect it from further damage.

Understanding the Anatomy of the Tooth and the Role of the Root Canal Treatment

A tooth is a complex structure that consists of several layers. The outermost layer is the enamel, followed by the dentin, which surrounds the pulp. The pulp contains the blood vessels and nerves that keep the tooth alive. When the pulp becomes infected or inflamed, it can cause severe pain and damage to the tooth.The root canal treatment is designed to remove the infection from the innermost part of the tooth to save it from extraction. By removing the infected pulp, the dentist can prevent the spread of infection to other parts of the mouth.

Why a Tooth Needs a Root Canal Treatment

When the tooth's pulp becomes inflamed or infected, it can cause severe pain, and in some cases, damage to the tooth's nerve. This can lead to abscesses and other serious oral health problems. In some cases, the tooth may need to be removed if the infection is too severe.A root canal procedure can save the tooth and prevent the need for extraction. It's important to seek treatment as soon as possible to avoid further damage.

The Stages of the Root Canal Treatment and What to Expect During the Procedure

The root canal procedure is typically completed in just a single visit. The process involves removing the infected pulp, cleaning the canals, filling the space with a special material, and crowning the tooth. This process may take several hours, depending on the severity of the infection and the location of the tooth.During the procedure, you will be given local anesthesia to numb the area. You may feel some pressure and discomfort, but the procedure should not be painful. After the procedure, you may experience some sensitivity and discomfort, but this should subside within a few days.

Possible Complications: Understanding the Risks Associated with Root Canal Treatment

While a root canal procedure is considered to be safe and reliable, complications are rare. For instance, if a dentist accidentally misses a root, the tooth may become reinfected. In rare cases, the tooth may crack or become damaged during the procedure, requiring further treatment.It's important to discuss any concerns or questions you have with your dentist before the procedure.

Costs and Benefits: Evaluating the Pros and Cons of the Root Canal Treatment

While it's true that the cost of a root canal procedure can be high, it's ultimately a worthwhile investment as it can save your tooth from extraction and more invasive procedures later on. Additionally, many dental insurance plans cover all or part of the cost of the procedure.When evaluating the pros and cons of the root canal treatment, it's important to consider the long-term benefits of saving your natural tooth.

Tips for Maintaining Your Root Canal Treated Tooth After the Procedure

After the root canal procedure, it's important to follow good oral hygiene practices like brushing and flossing regularly, and visiting your dentist frequently. Additionally, you may need to avoid certain foods and beverages for a period of time to allow the tooth to heal.Your dentist will provide specific instructions for aftercare, and it's important to follow them closely to ensure the success of the procedure.

Prevention is Better Than Cure: Understanding How to Prevent Further Tooth Decay and Root Canal Treatment

Prevention is key when it comes to avoiding complex dental treatments like root canal. Maintaining good oral hygiene practices and visiting your dentist regularly can help prevent tooth decay and other oral health problems.Additionally, avoiding sugary and acidic foods and beverages, and wearing a mouthguard during sports and other physical activities can help protect your teeth from damage.

Conclusion: Understanding the Importance of Root Canal Treatment in Saving Your Tooth

Root canal treatment plays a significant role in saving a tooth that may have otherwise required extraction. When performed timely, root canal treatments can lead to a healthier tooth and a happier smile. If you suspect that you may need root canal treatment, don't hesitate to speak with your dentist. By taking action early, you can save your natural tooth and avoid more invasive procedures later on.

The Story of an X Ray of a Tooth That Needs Root Canal

The X Ray

As I looked at the X-ray of this patient's tooth, I could see that there was a dark spot near the root. It was clear that this tooth needed a root canal. I could tell from the image that the tooth had already suffered significant damage, and if we didn't act soon, it would only get worse.

What is a Root Canal?

A root canal is a dental procedure that involves removing the infected or damaged pulp from inside the tooth. This process is done to save the tooth from further decay and to prevent the need for extraction. After the removal of the pulp, the tooth is cleaned and sealed to prevent bacteria from entering and causing further damage.

The Importance of Timely Treatment

When an X-ray shows that a tooth needs a root canal, it's important to act quickly. Delaying the treatment can lead to more severe pain and damage to the tooth. In some cases, the infection can spread to other teeth and even to the jawbone, which can be dangerous to your overall health.

Empathic Voice and Tone

As a dentist, I understand that getting a root canal can be a daunting experience for patients. However, it's important to remember that this treatment is necessary to preserve the tooth and prevent further complications. I always try to communicate with my patients in an empathetic tone, explaining the procedure and answering any questions they may have to make them feel at ease.

Table of Keywords

Keyword Description
X-ray An imaging technique used to see inside the body, often used in dentistry to identify problems with teeth and gums.
Tooth A hard structure in the mouth that is used for biting and chewing food.
Root Canal A dental procedure that involves removing the infected or damaged pulp from inside a tooth.
Pulp The soft tissue inside a tooth that contains nerves, blood vessels, and connective tissue.
Decay The gradual destruction of a tooth caused by bacteria and acid.
Infection A condition caused by harmful bacteria entering the body and multiplying.
Pain An unpleasant sensation caused by injury or disease.
Empathy The ability to understand and share the feelings of another person.

Closing Message for Visitors: Understanding the Importance of Root Canal Treatment

Thank you for taking the time to read our article about the X-Ray of Tooth that needs root canal treatment. We understand that dental procedures can be overwhelming, especially when it involves a root canal. However, it is essential to understand the importance of this treatment and why it is necessary to preserve your oral health.

We hope that this article has provided you with valuable information about what a root canal is, how it is done, and why it is crucial. It is important to remember that ignoring a tooth that needs a root canal can lead to severe consequences, including tooth loss, infection, and even more significant health problems.

By undergoing root canal treatment, you are not only preserving your natural tooth, but you are also preventing further damage to your oral health. This treatment is relatively painless and can provide long-term benefits to your overall well-being.

We encourage you to seek professional care if you suspect that you require a root canal. Your dentist will be able to determine if this treatment is necessary, and they will guide you through the process every step of the way.

At times, dental procedures can be intimidating, and we understand that many people may feel anxious or scared during their appointments. However, it is important to communicate your concerns with your dentist, who can help alleviate your fears and provide you with the comfort and support you need.

Remember, your oral health is an essential aspect of your overall well-being, and it is crucial to take care of your teeth and gums properly. Routine dental check-ups and maintaining good oral hygiene habits are key to ensuring that your teeth and gums remain healthy and strong.

If you have any questions or concerns about root canal treatment, we encourage you to speak with your dentist. They will be able to address any questions you may have and provide you with the necessary information to make informed decisions about your oral health.

Thank you again for taking the time to read our article. We hope that it has provided you with valuable insights into root canal treatment and why it is essential for preserving your oral health.

We wish you all the best on your dental journey and hope that you continue to prioritize your oral health. Remember, prevention is key, and regular dental check-ups can help detect any issues before they become more severe.

What People Also Ask About X-Ray of Tooth That Needs Root Canal

1. What is an X-Ray of a Tooth?

An X-Ray of a tooth is a diagnostic tool that dentists use to see the internal structures of a tooth. This imaging technique uses electromagnetic radiation to reveal any abnormalities, decay, or damage that may not be visible during a routine dental exam.

2. Why is an X-Ray Needed for a Tooth That Needs Root Canal?

An X-Ray is essential when a tooth needs a root canal because it lets the dentist see the extent of the damage and determine the best course of treatment. The X-Ray will show the location and size of the infection, as well as any damage to the surrounding bone and teeth.

3. Is an X-Ray Painful?

No, an X-Ray is not painful. It is a non-invasive procedure that takes only a few minutes to complete. The dentist or dental technician will place a small sensor in your mouth, which you will bite down on while the X-Ray machine takes the images. You may feel a slight discomfort from holding the sensor, but it should not be painful.

4. Are There Any Risks Associated with an X-Ray?

There is very little risk associated with an X-Ray of a tooth. The amount of radiation used is minimal, and the exposure time is short. However, pregnant women should avoid X-Rays if possible, as they can harm the developing fetus. If an X-Ray is necessary, the dentist will take extra precautions to minimize the amount of radiation exposure.

5. How Often Should I Have an X-Ray of My Teeth?

The frequency of X-Rays depends on your individual dental health needs. If you have a history of dental problems, your dentist may recommend more frequent X-Rays to monitor any changes. For most people, a dental X-Ray every 12-24 months is sufficient.

6. Can I See the X-Ray Images of My Tooth?

Yes, you can ask your dentist to show you the X-Ray images of your tooth. They will explain what the images show and how they relate to your dental health. Seeing the X-Ray images can help you understand why a root canal is necessary and what the procedure will entail.

In conclusion, an X-Ray of a tooth is an essential diagnostic tool for determining the extent of damage and infection in a tooth that needs a root canal. It is a quick and painless procedure with minimal risks, and the dentist can show you the X-Ray images to help you understand your dental health better.